

治療前

治療後
詳細

治療前

治療後

治療前

治療後

治療前

治療後
詳細

治療前

治療後

治療前

治療後

治療前

治療後
詳細

治療前

治療後

治療前

治療後

治療前

治療後
詳細

治療前

治療後

治療前

治療後

治療前

治療後
詳細

治療前

治療後

治療前

治療後

治療前

治療後
詳細

治療前

治療後

治療前

治療後

治療前

治療後
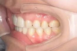
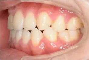
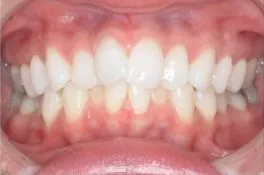
中度の出っ歯の症例です。
抜歯治療を行い、お口の出っ張りが改善されています。
詳細

治療前

治療後

治療前

治療後
詳細

治療前

治療後

治療前

治療後

治療前

治療後
詳細

治療前

治療後

治療前

治療後

治療前

治療後
詳細

治療前

治療後

治療前

治療後

治療前

治療後
詳細

治療前

治療後

治療前

治療後

治療前

治療後
詳細

治療前

治療後

治療前

治療後

治療前

治療後
詳細

治療前

治療後

治療前

治療後

治療前

治療後
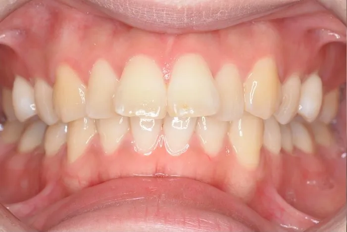
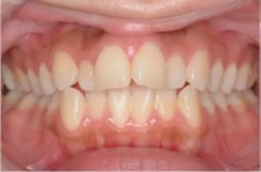
軽度の出っ歯で、抜歯も必要ないため比較的短期間で治療できています。
詳細

治療前

治療後

治療前

治療後